Titel:
Übergänge in der agrarwirtschaftlichen Berufsbildung – eine Herausforderung für Bildungsakteure auf unterschiedlichen Ebenen
Beitrag von Kerstin WACKWITZ (Berufliches Schulzentrum Radebeul)
Als sich in Folge des Wandels in der beruflichen Arbeitswelt in den 90-er Jahren der Bundesverband der Industrie e. V. für einen fach- und berufsübergreifend qualifizierten Mitarbeiter neuen Typs aussprach, löste dies eine Lawine von Ereignissen aus, die von der sukzessiven Neuordnung der Bildungsgänge über die Neustrukturierung der entsprechenden KMK-Rahmenlehrpläne geknüpft an eine Reformation der didaktisch-methodische Umsetzung im Unterricht, bis zum Umdenken im Prüfungsmodus der zuständige Stellen geht. Diesem hohen Anspruch einer Entwicklung beruflicher Handlungskompetenz mittels innovativer Lehr-Lern- Arrangements im handlungssystematisch strukturierten Unterricht kann nicht sofort und in allen Schularten und Bildungsgängen gleichermaßen entsprochen werden – vielmehr ist der Umgestaltungsprozess fortdauernd, verläuft simultan und erfährt in der praktischen Umsetzung mitunter seine Grenzen. Der Beitrag „Vom Lernfeld zur Beruflichkeit“ setzt sich mit einer in der Unterrichtspraxis erprobten Option der Verknüpfung von Lernfeldern auseinander. Unterrichtsprojekte lassen nach dem Detaillieren von Handlungsfeldern in Lernfelder und schließlich Lernsituationen die Rückkoppelungen auf das Berufsbild zu. Ihre Umsetzung im Unterricht der Berufsschule wird immer dann vermieden, wenn der Planungsaufwand die Möglichkeit des Lehrenden übersteigt und sich eine Lernerfolgskontrolle als kritisch darstellt. Hier sollen Handlungsempfehlungen und praktische Beispiele Defizite ausgleichen helfen. Der Beitrag bietet zudem Ansätze für weiterführende Diskussionen zur Visualisierung von Lernfeldverschränkungen mit Hilfe einer „Lernfeldmatrix“ und zur ganzheitlichen Komplexprüfung nach dem Modell der vollständigen beruflichen Handlung.
Es gehört zweifelsohne zu den Vorteilen des dualen Systems, dieser zeitgemäßen Symbiose zwischen Unternehmen und Berufsausbildung, Berufsbilder nicht an der Wirtschaft vorbei sondern absolut passfähig zu gestalten. Ausgelöst durch den Wandel in der beruflichen Arbeitswelt – weg von der Arbeitszerlegung, hin zu einer Integration und Vernetzung der Aufgaben – wurde die Forderung nach einem fach- und berufsübergreifend qualifizierten Mitarbeiter erhoben, der kreativ, selbstbewusst und selbstständig Probleme löst und ein hohes Maß an Teamfähigkeit besitzt. Niederschlag fand dieser Anspruch in der Neuordnung der Berufe, beginnend in den 90-er Jahren zunächst mit Bildungsgängen der Metall- und Elektrotechnik, sowie der Erstellung von KMK-Rahmenlehrplänen, die im Bundesland Sachsen, der Heimat der Autorin, 1 zu 1 übernommen werden und eine Untersetzung durch Arbeitsmaterialien für die Hand des Lehrers erfahren. Im Berufsfeld Agrarwirtschaft wurden bisher nur die Bildungsgänge „Tierwirt/Tierwirtin“ (2005) sowie „Pferdewirt/Pferdewirtin“ (2010) neu geordnet und der Bildungsgang „Fachkraft Agrarservice“ (2005) neu angelegt. Mit der Novellierung des Berufsbildungsgesetzes im April 2005 wurde den Ländern zudem die Option eröffnet, Berufsfelder aufzulösen, neu zu schneiden und so Berufsbilder in den aktuellen Kontext einer Dienstleistungsgesellschaft zu bringen. Diese zunächst auf neue Inhalte ausgerichtete Strategie forderte eine Didaktik, welche in stärkerem Maße auf die Abbildung komplexer beruflicher Handlungen und schließlich auf die Entwicklung beruflicher Handlungskompetenz fokussiert. Seit Beginn der 90-er Jahre wird in Deutschland der Begriff der Qualifikation verstärkt durch den Kompetenzbegriff substituiert, was darin begründet ist, dass Qualifikationen lediglich Aussagen zu situativen Anforderungen, nicht aber zu personellen Voraussetzungen zu deren Bewältigung beschreiben, während Kompetenzen eher Dispositionen von Menschen zur Problemlösung darstellen.
Abb. 1: Vereinfachter Ansatz einer Begriffsdiskussion Qualifikation – Kompetenz
Am Lernort Schule erfuhr der kompetenzorientierte Ausbildungsansatz Umsetzung in einer Lehrplanstruktur, die nicht mehr ausschließlich den Bildungsinhalt einer Bezugswissenschaft als zentralen Gedanken zelebriert, sondern vielmehr ganzheitlich exemplarische Situationen der Lebens- und Arbeitswelt für die Entwicklung von Lern- und Methodenkompetenz nutzt. Dabei wird das als Lernfeld bezeichnete Strukturierungselement inhaltlich so geschnitten, dass es repräsentative Handlungen innerhalb des Berufsbildes plagiiert und als didaktisch-methodisch aufbereitetes Lehr-Lernarrangement einem Beitrag zur Realisierung des Lernziels „Beruflich Handlungskompetenz“ leistet. Lernfelder sind didaktisch begründete, für den Lernort Schule aufbereitete Handlungsfelder, die mittels Zielformulierungen in Form von Kompetenzbeschreibungen und ausgewählten Kerninhalten beschrieben werden. Lernfelder werden in Lernsituationen gegliedert, die
Abb. 2: Curriculare Elemente in handlungssystematisch strukturierten Planungshilfen
Das in Abbildung 2 hervorgehobene curriculare Element der „Berufsbildorientierung“ als eine punktuelle Verknüpfung von Handlungsorientierung und Problemorientierung erfährt insofern eine besondere Gewichtung, weil sich in der Praxis der Berufsschule hier ein Defizit auftut, welches den Übergang von der Ausbildung ins Arbeitsleben erschweren kann. Berufsbilder charakterisieren Bildungsgänge über Handlungssituationen, grenzen sie voneinander ab oder verquicken sie miteinander indem sie den Zugang sowie die angestrebten Kompetenzen in der Lebens- und Arbeitswelt beschreiben. Sie bieten die Basis für die Entwicklung von Handlungsfeldern, Lernfeldern und schließlich Lernsituationen, werden allerdings selbst als höchste Form der Komplexität nur selten rückgekoppelt. Damit bleiben für die gegenwärtige Wirtschaft und die sich entwickelnde Dienstleistungsgesellschaft bedeutende Verschränkungen von Handlungssituationen diverser Bildungsgänge aus zum Teil bis dato unterschiedlichen Berufsfeldern „außen vor“. Durch Lernsituationen werden lediglich Kompetenzen für abgeschlossene komplexe berufliche Handlungen angelegt und trainiert, ein Ausblick auf das Management der Gesamtheit der in einem Arbeitsvertrag definierten beruflichen Tätigkeiten erfolgt am Lernort Schule selten oder gar nicht.
Der Begriff „Berufsbildorientierung“ soll eine Rückkopplung auf die Tätigkeitsbeschreibungen des Bildungsganges im Kontext zu den eingeforderten Kompetenzen zulassen und auf eben deren Management fokussieren. Ein Prozess übrigens, der nicht ausschließlich dem Abschluss der Ausbildung vorbehalten sein muss, sondern vielmehr durch Repetition zum Selbstverständnis werden sollte. Folgende Instrumente empfiehlt die Autorin aus eigener Erfahrung oder aus der Auseinandersetzung mit innovativen, curricularen Grundlagen für neugeordnete Bildungsgänge:
Abb. 3: Vom Berufsbild zur Lernsituation, dargestellt am Beispiel des Bildungsganges zum Biologielaboranten/zur Biologielaborantin, einem Beruf mit Affinitäten zur Agrarwirtschaft
Unter beruflicher Handlungskompetenz (alternierend auch kurz „Beruflichkeit“) möchte die Autorin die Gesamtheit der Kompetenzen, die im Rahmen eines Berufsbildes beschrieben werden, verstanden wissen. Indikator für die Ausprägung der beruflichen Handlungskompetenz könnten auch in den Bildungsgängen der Agrarwirtschaft bundeseinheitliche Kompetenzstandards für ein Kompetenzprofil zum Berufsbild sein (vgl. ANDERKA 2009). Dies wäre zudem ein Beitrag zum Qualitätsmanagement in der beruflichen Aus- und Weiterbildung in agraren Bildungsgängen. Allerdings überschreitet eine Fortsetzung der an dieser Stelle initiierten Diskussion den Rahmen der Veröffentlichung. Vielmehr wendet sich die Autorin nunmehr exemplarisch dem horizontalen Lerntransfer über das Unterrichtsprojekt zu, um die Partizipation dieser Lernform an der Entwicklung von Beruflichkeit stärker zu erschließen.
Unterrichtsprojekte werden verstanden als „…ganzheitliche, integrative Lernform, der ein Höchstmaß an curricularer Offenheit zukommt und die den bestmöglichen Raum für Lernermitbestimmung und Schülerorientierung bei Themenfindung und Lernzielfeststellung, für Binnendifferenzierung und kooperatives Verhalten bereitstellt.“ (LEGUTKE 2003). Im Unterschied zum Wirtschaftsprojekt, welches auf wirtschaftliche Ziele fokussiert und sich ausschließlich der Komponenten des Projektmanagements bedient, werden Unterrichtsprojekte durch pädagogische Ziele gesteuert und erfahren ihre Lenkung mittels pädagogisch-didaktischer Kriterien. In handlungssystematisch strukturierten Curricula neugeordneter Bildungsgänge werden die weitgehend der Systematik der Bezugswissenschaft folgenden Zielformulierungen durch solche abgelöst, die übergreifend für berufliche Handlungsfelder unter dem Aspekt der Prozessorientierung als repräsentativ für den angestrebten Bildungsgang gelten. Die Angabe von Inhalten ist vor dem Hintergrund steter Adaption an aktuelle oder regionale Modifikationen auf ein Minimum beschränkt und konzentriert sich auf einige wenige Kerninhalte. Hier ist am jeweiligen Schulstandort zunächst zu prüfen, wo sich in konkreter Realisierung der einzelnen Lernfelder Schnittmengen ergeben.
Tabelle 1: Lernfeldmatrix zur Realisierung inhaltlicher Schnittmengen für ein Weideprojekt, Bildungsgangs zum Tierwirt/zur Tierwirtin, 1. Lehrjahr
Unt. | Lernfeld 1 | Lernfeld 2 | Lernfeld 3 | Lernfeld 5 |
3 |
|
|
| Futtermittel; (FM)-Inhaltsstoffe |
4 |
| Textverarbeitung |
| Grund-FM; Weender Analyse |
6 |
| Tabellenkalkulation; Berechnungen |
| FM-Bestimmun-gen |
7 | Qualitätsmanagement im landwirtschaftlichen Unternehmen | Weidezaungeräte |
|
|
8 |
|
|
| Fütterungserkrankungen |
10 | Betriebswirtschaftliche Beurteilung des Weideverfahrens | Weidetechnik | Tiere zum Weidegang vorbereiten; Pflanzenbestand auf Weiden; Weideverfahren | Weidebonitur |
Weideprojekt | ||||
11 |
|
| Weideertragsermittlung; Berechnung der Weidefläche; Auswählen von Weideeinrichtungen | Weideertrag |
12 |
|
|
|
|
LF 1: Einen neuen Mitarbeiter in den Betrieb einführen
LF 2: Geräte, Maschinen und Anlagen handhaben
LF 3: Tierunterkünfte herrichten und instand halten
LF 5: Tiere füttern
Unterrichtsprojekte stellen eine besondere Herausforderung an die Zusammenarbeit zwischen den Lehrkräften und die Koordinierung von Unterrichtsvorstellungen dar. Daher sollten sie unbedingt langfristig geplant und über die Stoffverteilungspläne als sehr komplexes Vorhaben angezeigt werden. Das Management eines Unterrichtsprojektes folgt einem festen Algorithmus: ist der Impuls gesetzt (z. B. über eine Lernfeldmatrix, welche durch inhaltliche Schnittmengen Ideen gründen hilft), muss dieser in das Gesamtcurriculum involviert und an einen abrechenbaren Auftrag gekoppelt werden.
a) Inhaltlich-curriculare Planungsüberlegungen
b) Schulorganisatorische Planungsüberlegungen
Abb. 4: Unterrichtsprojekt – Ablaufplanung (in Anlehnung an EMER/ LENZEN 2008)
Da der Mensch im Unterrichtsprojekt das Primat hat, wird die erfolgreiche Umsetzung des Projektziels maßgeblich durch die Wahrnehmung, Anerkennung und Berücksichtigung von kognitiven und affektiven Rahmenfaktoren bestimmt, die im Projektplan Berücksichtigung finden sollten.
Rahmenfaktor Auszubildende/Lernende
Als besonders problemhaft kann sich die Forderung nach Methodenkompetenz gestalten, wenn diese gleichzeitig über das Unterrichtsprojekt vermittelt werden soll. In den gegenwärtig von Zugang und Altersstruktur her oft betont heterogenen Klassen müssen die Lernenden sehr individuell abgeholt werden, was dem Lehrenden psychologisches Geschick und didaktisch-methodische Erfahrung abverlangt.
Rahmenfaktor Lehrender
Probleme ergeben sich immer dann, wenn Lehrende nicht bereit sind sich mit ihrer geänderten Rolle im Projekt zu identifizieren. Da für die Vorbereitung eines Unterrichtsprojektes ein ungleich höherer Zeitaufwand als für die Unterrichtsvorbereitung allgemein kalkuliert werden muss, stößt der Gedanke einer derartigen Verquickung von Lernfeldern/Fächern bei Lehrenden mitunter auf heftigen Widerstand. Zudem ist der „Einzelkämpfer Lehrer“ nicht immer bereit, sein Wissen zu teilen und sich mit Kollegen zu arrangieren. Hier gilt es im Interesse der Lernenden und in Wahrung des Berufsethos als Lehrer persönliche Befindlichkeiten zurückzustellen und hausinterne Lösungen zu finden.
Rahmenfaktor Umfeld
Planung und Organisation von:
Gute Projektideen erfahren mitunter niemals eine Umsetzung in der schulischen Praxis, weil das Budget der Bildungseinrichtung dies nicht zulässt. Im dualen System der Berufsausbildung bietet es sich an, Betriebe als Sponsor und Kofinanzier zu gewinnen. Zudem bieten Einrichtungen des öffentlichen Dienstes den regionalen Schulen häufig kostenlos Dienstleistungen als Amtshilfe an.
Rahmenfaktor Lernort Schule
Ein Unterrichtsprojekt ist auch stets eine Herausforderung an die Träger von Schulorganisation, da im Prozess z. B. die Wahrnehmung der Personalauslastung durch die Schulleitung nicht immer gegeben ist. Problemhaft wird die Umsetzung des Projektes immer dann, wenn die Schule sehr heteronom geführt wird.
Bei der Planung der unmittelbaren Projektdurchführung stehen den Akteuren erprobte Instrumente zur Verfügung. So sollte/-n
Schließt das Unterrichtsprojekt ab, so sind seitens der Schulorganisation am Lernort Schule die technischen Voraussetzungen für die Ergebnispräsentation durch die Lernenden abzusichern. Für die Lehrenden ist ein Zeitkorridor zur Kontrolle und Bewertung der Projektdokumentationen und -ergebnisse vorzusehen und einzurichten. Grundsätzlich sollte Leistungsbewertung auch im Unterrichtsprojekt den Grundsätzen der Transparenz, Nachvollziehbarkeit, Vergleichbarkeit und Handhabbarkeit (im Sinne von Bewertungsökonomie) entsprechen. Kompliziert gestaltet sich die Lernerfolgskontrolle im lernfeldübergreifenden Projektunterricht immer dann, wenn nicht registriert oder respektiert wird, dass berufliche Handlungskompetenz ein Konstrukt ist, welches sich einer direkten Überprüfung entzieht. Vielmehr besteht die Notwendigkeit durch den Lehrenden
Indikatoren sind als Gütekriterien mit beobachteter positiver oder negativer Ausprägung zu verstehen. In der Regel werden sie taxonomisch geordnet und beschrieben.
Abb. 5: Indikatoren einer Lernhandlung – Auszug (KMK, 2000)
Lernerfolgskontrolle sollte als multiperspektivische Maßnahme verstanden werden, da die Einbindung von Lernenden in die Einschätzung und Bewertung der Ergebnisse deren Fähigkeit zur Argumentation und sachlichen Kritik befördert und somit als Beitrag zur Entwicklung von Personal- und Sozialkompetenz gilt.
Abb. 6: Handlungsschritte bei der Leistungsbewertung
Unterrichtsprojekte sollten abschließend sowohl mit der Gruppe der Auszubildenden, als auch mit dem Lehrerteam evaluiert werden. Mögliche Instrumentarien sind strukturierte Fragebogen oder dokumentierte Feedback-Runden. Da der Aufwand zur Realisierung eines Unterrichtsprojektes erheblich ist, sollten gelungene Prozedere über Publikationen oder Lehrerfortbildungen multipliziert und so auch anderen Bildungseinrichtungen erschlossen werden.
Zielgruppe: dualer Bildungsgang „Biologielaborant/Biologielaborantin“, 3. Lehrjahr, aber auch geeignet für vollzeitschulische Schularten wie Berufsfachschule, Bildungsgang „Chemisch-technischer Assistent“, Klassenstufe 2, Fachoberschule – Fachrichtung Agrarwirtschaft, Berufliches Gymnasium für Biotechnologie oder für Agrarwirtschaft oder für den Bildungsgang „Gärtner/Gärtnerin“, 3. Lehrjahr
Berufsbild: „Der Biologielaborant/die Biologielaborantin arbeitet in Laboratorien der Forschung und Entwicklung, der medizinischen und mikrobiologischen Kontrolle sowie der biotechnischen Produktion. Nach Anleitung werden selbstständig biochemische, zellbiologische, molekularbiologische, mikrobiologische und gentechnische Untersuchungen durchgeführt. Die Schülerinnen und Schüler bedienen sowohl klassische als auch modernsteLaboreinrichtungen, führen Versuchsreihen durch und protokollieren Untersuchungen mit spezieller Computertechnik.“ (vgl. SÄCHSISCHES STAATSMINISTERIUM FÜR KULTUS 2002) → vollständige Fassung unter: http://www.sachsen-macht-schule.de/apps/lehrplandb/downloads/lehrplaene/lp_bs_ambiolaborant.pdf
Ziele für das Unterrichtsprojekt:
Empfohlene Sozialform für das Unterrichtsprojekt:
je nach Bildungsgang Einzelarbeit (z. B. BiologielaborantIn) oder Partnerarbeit (z. B. GärtnerIn)
Projektplanung:
Arbeitsauftrag für die Klasse ____________:
Identifizieren Sie Agrobakterium tumefaciens in Pflanzen der Art Kalanchoe! Entwickeln Sie eine Präsentation zur Vorstellung des Versuches und zur Strategie einer Tumorinduzierung bei Pflanzen!
Grundsätzliche Vernetzungsmatrix:
Chronologisch geordnete Arbeitsschritte (Planen-P, Durchführen-D, Auswerten-A) | Unterrichtsstunden/Lernfeld | ||||||||
1 | 2 | 3 | 4 | ||||||
| T | L | T | L | T | L | T | K | |
Agrobacterium tum. und Nährmedien bestellen | P |
|
|
| 1 | 1 | |||
Agrobacterium tum. beleben und vermehren | P | 4 | 2 |
|
|
| |||
Kalanchoe mit Agrobacterium tum. infizieren | P |
| 7 | 2 |
|
| |||
Makroskopische und mikroskopische Beobachtung sowie Dokumentation | D |
|
| 1 | 4 |
| |||
Präsentation erarbeiten | D |
|
|
|
| 3 | |||
Arbeitsergebnisse präsentieren und vergleichen- A |
|
| 2 |
|
| 2 | |||
T: Lernfeldunterricht-Theorie (Planen im Klassenraum)
L: Lernfeldunterricht-Praxis im Labor (Planen/Durchführen) K: oder im PC-Kabinett (Durchführen/Auswerten)
Verlaufsschiene:
Tätigkeit | Woche | |||||||||||||
1 | 2 | 3 | 4 | 5 | 6 | 7 | 8 | 9 | 10 | 11 | 12 | 13 | 14 | |
Bestellung Agr. tum. |
|
|
|
|
|
|
|
|
|
|
|
|
|
|
Bestellung Nährmedien |
|
|
|
|
|
|
|
|
|
|
|
|
|
|
Vermehrung Agr. tum. |
|
|
|
|
|
|
|
|
|
|
|
|
|
|
Einkauf der Kalanchoe |
|
|
|
|
|
|
|
|
|
|
|
|
|
|
Tumorinduzierung von Agr. tum. auf der Kalanchoe |
|
|
|
|
|
|
|
|
|
|
|
|
|
|
Pflanzenpflege/Beobachtung makroskopisch erkennbarer Veränderungen |
|
|
|
|
|
|
|
| * | * |
|
|
|
|
Mikroskopische Tumoridentifizierung Erfassung der Versuchsergebnisse |
|
|
|
|
|
|
|
|
|
|
|
|
|
|
Dokumentation und Visualisierung in einer Power Point Präsentation |
|
|
|
|
|
|
|
|
|
|
|
|
|
|
Auswertung/Präsentation |
|
|
|
|
|
|
|
|
|
|
|
|
|
|
Evaluation | möglichst zeitnah | |||||||||||||
* der Versuch kann bereits nach 4 Wochen beendet werden, zeigt allerdings nach 6 oder noch besser 8 Wochen deutlichere Ergebnisse
Versuchsdurchführung:
Agrobacterium tumefaciens:
Bestellung der gefriergetrockneten Kultur:
DSMZ Sales, Inhoffenstraße 7B, 38124 Braunschweig
pdf-Formular unter: http://www.dsmz.de/microorganisms/files/miosord.pdf
Bezeichnung: Rhizobium radiobacter C58 (Agrobacterium tumefaciens)
Preis (2010): 50,00 € (für Schulen)
Bestellung der Nährmedien:
→ Angebote der Anbieter vergleichen
Pepton
Fleischextrakt
Agar Agar
Nährlösung herstellen:
auf 1000 ml dest. Wasser werden benötigt
Pepton 5,0 g
Fleischextrakt 3,0 g
Agar 15, 0 g
Ingredienzien mit dem dest. Wasser in einem sterilen Becherglas verrühren → Inhalt im Becherglas unter ständigen Rühren auf einer Heizplatte erwärmen und zum Sieden bringen → Boullion auf ca. 20°C abkühlen lassen
Wiederbelebung und Vermehrung der getrockneten Bakterienkultur:
Nach Anleitung auf dem Beibackzettel (in deutscher und in englischer Sprache) Achtung! Nur sterile Hilfsmittel verwenden, Arbeit zwischen 2 Brennerflammen sichert ein weitestgehend keimfreies Milieu → Entwicklung einer Stammlösung durch Nutzung der zuvor hergestellten Nährlösung und Abfüllen in ein Kulturröhrchen → Bakterien zur Vermehrung für 3 Tage bei Zimmertemperatur in der Stammlösung belassen → Fraktionieren der Stammlösung auf Platten oder Schrägagarröhrchen, indem weitere Nährlösung hergestellt wird und die Reinkultur verteilt wird (absolut steril arbeiten!) → Bebrüten zum alsbaldigen Verbrauch oder Aufbewahrung im Kühlschrank bei ca. 6°C (auch über Jahre möglich)
Tumorinduzierung an Pflanzen der Art Kalanchoe:
Beobachtungen:
Abb. 7: Makroskopische Wahrnehmung des Tumorwachstum; Tumorwachstums an der infizierten Blattwunde – Vergleich zum gesunden Gewebe
Abb. 8: Mikroskopie des Tumors im Vergleich zu gesundem Gewebe-Blattquerschnitt
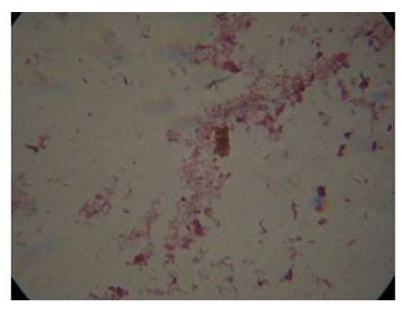
Abb. 9: Gramfärbung zum Nachweis der Bakterien (gram negativ)
Leistungsbewertung:
![]()

Abb. 10: Optionale Gegenstände für die Leistungsbewertung
Bewertungsbogen für das Unterrichtsprojekt:
unter http://methodenpool.uni-koeln.de/benotung/3976-4000-1-bohl_leistungsbewertung_2te_version020505zo.pdf (BOHL 2003, 18f.)
1. Werden duale Bildungsgänge neu geordnet, so bietet die Kultusministerkonferenz (KMK) seit Ende der 90-er Jahre handlungssystematisch strukturierte Rahmenlehrpläne an, deren Art und Weise der Umsetzung durch die Entscheidungsträger in den einzelnen Bundesländer geregelt wird. Der Freistaat Sachsen bekennt sich eindeutig zum Lernfeldprinzip und unterstützt dessen Umsetzung an den Standorten beruflicher Bildung durch handlungsanleitende Arbeitsmaterialien.
2. Wenn handlungsorientiert in Lernfeldern unterrichtet wird, dann hat dies Konsequenzen für die Bewertung von Lernleistungen und für die Prüfungen. Zu Ersterem sind vorab Denkansätze geleistet worden. Prüfungen sollten ebenfalls dem Prinzip der komplexen beruflichen Handlung entsprechen und sowohl im theoretischen als auch im praktischen Teil Situationen des beruflichen Tagesgeschäftes inszenieren. Hier werden im Freistaat Sachsen Erprobungen an der Berufsfachschule für landesrechtlich geregelte Ausbildungsberufe realisiert, die dann auf affine Bildungsgänge übertragbar sind.
3. Unterrichtsprojekte sind nicht nur der besiegelnde Abschluss einer Ausbildung, sondern können zu jeder Zeit als Verknüpfung von Lernfeldern und damit als Unterrichtsmethode eingesetzt werden. Voraussetzung für eine erfolgreiche Realisierung des Vorhabens ist auch das Wissen um Schnittstellen zwischen den Lernfelder (siehe Lernfeldmatrix).
4. Zunehmend problemhaft gestaltet sich der Wunsch nach einem handlungssystematisch strukturierten Lehrplan, wenn der Beruf keine Neuordnung erfahren hat und damit die Verschriftung der Lernergebnisse in den Zeugnissen in Fächern erfolgen muss. Hier sind die Sozialpartner dringend zum Handeln aufgefordert.
ANDERKA, C. (2009): Kompetenzstandards unterstützen Transparenz und Qualität der
Personalentwicklung in Großunternehmen – Erfahrungen aus dem Projekt „Kompetenzorientierung in der beruflichen Bildung“. Universität Kassel, Institut für Berufsbildung.
BADER, R./ MÜLLER, M. (2002): Vom Lernfeld zur Lernsituation. Zeitschrift für Berufs- und Wirtschaftspädagogik, 98 (1), 71-85.
BOHL, T. (2009): Neuer Unterricht, neue Leistungsbewertung. Online: http://methodenpool.uni-koeln.de/benotung/3976-4000-1-bohl_leistungsbewertung_2te_version020505zo.pdf
EMER, W./ LENZEN, K.-D. (2008): Projekteigene und projektnahe Methoden im Überblick. In: Pädagogik 1/08. Weinheim, 16-19.
LEGUTKE, M. (2003): Projektunterricht. In: BAUSCH, K.-R./ CHRIST, H./ KRUMM, H.-J. (Hrsg.): Handbuch Fremdsprachenunterricht. (4. Aufl.). Tübingen und Basel, 259–263.
KLAFKI, W. (1976): Studien zur Bildungstheorie und Didaktik, Weinheim u. a.
KMK (2000): Schlüsselbegriffe aus der Beschreibung von Handlungskompetenz. In: RICHTER, H. (2002): Lernerfolgskontrolle im Lernfeldkonzept.
RICKEN, H. (2005): Kompetenzstufenmodelle in der beruflichen Bildung – eine systematische Modellierungsansätze im nationalen und internationalen Raum. Hausarbeit zur Ersten Staatsprüfung für das Lehramt Oberstufe - Berufliche Schulen, Universität Hamburg, Fakultät für Erziehungswissenschaften, Psychologie und Bewegungswissenschaften, Institut für Berufs- und Wirtschaftspädagogik.
SÄCHSISCHES STAATSINSTITUT FÜR BILDUNG UND SCHULENTWICKLUNG COMENIUS-INSTITUT (2002): Arbeitsmaterial für die Berufsschule, Biologielaborant/Biologielaborantin, hrsg: SÄCHSISCHES STAATSMINISTERIUM FÜR KULTUS. http://www.sachsen-macht-schule.de/apps/lehrplandb/
WACKWITZ, K. (2011): Vom Lernfeld zur Beruflichkeit. In: bwp@ Spezial 5 – Hochschultage Berufliche Bildung 2011, Fachtagung 01, hrsg. v. MARTIN, M./ BRÄUER, M., 1-16. Online: http://www.bwpat.de/ht2011/ft01/wackwitz_ft01-ht2011.pdf (26-09-2011).